Такое заявление сделал профессор, доктор медицинских наук, главный пульмонолог Комитета по здравоохранению Ленинградской области Виктор Казанцев. На первом месте расположились сердечные заболевания, на втором - рак.
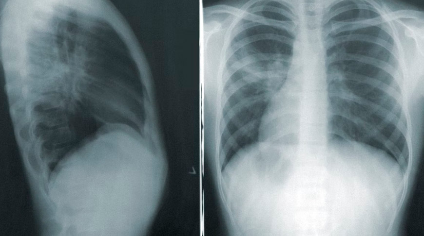
Причина внебольничной пневмонии - пневмококк. Врач назвал и симптомы болезни: кашель с мокротой, температура выше 38°С и лейкоцитоз. Пациентам, у которых есть подозрение на внебольничную пневмонию, рекомендована обзорная рентгенография органов грудной полости в передней прямой и боковой проекциях. По статистике, 53% приходится на нижнюю проекцию правого легкого, 43% - на нижнюю долю левого легкого.
Как дополнительную диагностику можно использовать современные лабораторные методы (экспресс-тесты на антигены пневмококка в моче, ПЦР), УЗИ органов грудной клетки, пульсоксиметрию, фибробронхоскопию, КТ высокого разрешения. Впрочем, у последнего метода есть ограничения, поэтому прибегать к нему нужно осторожно. Казанцев отметил, что компьютерная томография грудной клетки несет излучение 5-7 микрозиверт, а годовой порог - 3,7.

Чаще всего при пневмонии назначается амоксициллин, но если у пациента есть сопутствующие заболевания, лечение подбирается индивидуально. Прекращать терапию антибактериальными препаратами можно, если рентгенограмма не показывает отрицательной динамики, нет дыхательной недостаточности, интоксикации и гнойной мокроты, а температура упала ниже 37,5°С.
Даже если остальные показатели в норме или стремятся к этому, кашель может продолжаться около трех недель, у возрастных пациентов - еще дольше. Для лечения подойдут растительные препараты с отхаркивающими, бронхоспазмолитическими и противоспалительными свойствами. Профессор отметил, что особенно эффективными буду те, в которых содержатся экстракты тимьяна и плюща.

Также врач рассказал, что в последних рекомендациях Минздрава РФ говорится о том, что важно назначать этиотропные противовирусные препараты на ранних стадиях гриппа и ОРВИ - это сильно снижает риск осложнений. Еще одно средство профилактики - оптимальная базисная терапия ХОБЛ, которая подразумевает вакцинацию, физнагрузку и отказ от курения. По словам Казанцева, "отказ от курения снижает смертность больше, чем снижение холестерина и контроль артериального давления. Если говорить о вреде табакокурения, то люди курят ради никотина, но умирают из-за смол и вредных веществ, образующихся при горении табака. Научные исследования показали, что с повышением температуры горения табака повышается уровень образующихся вредных химических веществ. Концепция снижения вреда предполагает при невозможности отказа от курения переход на продукцию с пониженным риском. Например, на электронные системы нагревания табака".
Если говорить о патогенетической терапии, то она представлена в виде бронхолитиков, муколитиков и мукорегуляторов, массажа грудной клетки, дыхательной гимнастики, аэрозолетерапии, бронхологической санации и аппаратной физиотерапии.
| Подготовлено по материалам PMI, фото из открытых интернет-источников.
- размещаются материалы рекламно-информационного характера.